
خدمات دندانپزشکی دکتر ونوس شیبانی
تمام آنچه که باید درباره خدمات ما بدانید!
مجله سلامت

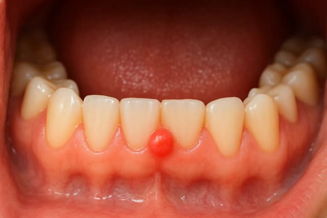
این علامت کوچک روی لثه ممکن است از یک بیماری جدی خبر دهد!
یک لکه قرمز، تورم خفیف یا خونریزی بیدلیل روی لثه ممکن است نشانه چیزی جدیتر باشد! در این مقاله علامت کوچک لثه را بشناسید که نباید نادیده گرفته شوند.

این یک علامت اولیه عفونت لثه است که اغلب نادیده گرفته میشود!
این علامت ظاهراً بیاهمیت میتواند نشانه شروع یک عفونت لثه جدی باشد! در این مقاله یاد بگیرید چه تغییری در دهانتان را نباید نادیده بگیرید — قبل از اینکه دندانها شل شوند.

این یک علامت بیصداست که نشان میدهد استخوان فک شما تحلیل رفته!
اگر دندانهایتان شل شده یا فضای بین دندانها زیاد شده، ممکن است استخوان فک در حال تحلیل است! در این مقاله نشانه هشداردهندهای را بشناسید که بیشتر مردم آن را نادیده میگیرند.

اولین نشانه پوسیدگی چیست؟ چیزی که اغلب نادیده گرفته میشود!
اولین نشانه پوسیدگی دندان چیست؟ در این مقاله آن را بشناسید — چیزی که بیشتر مردم آن را نادیده میگیرند! قبل از بروز عوارض جبرانناپذیر، مراقبت کنید.

ایمپلنت یا بریج؟ راهنمای کامل برای تصمیمگیری درست
ایمپلنت یا بریج؟ در این مقاله تمام نکات مهم مقایسه این دو روش جایگزینی دندان را بخوانید و قبل از تصمیمگیری، گزینه مناسب خود را پیدا کنید.

این اشتباه ساده میتواند کل درمان ارتودنسی شما را خراب کند!
این اشتباه رایج میتواند تمام تلاشهایتان در درمان ارتودنسی را از بین ببرد! در این مقاله یاد بگیرید چه کاری نباید انجام دهید — قبل از اینکه دیر شود و لبخند زیباتر از دست برود.
اسکن برای دسترسی با موبایل
برای دسترسی به کسبوکار، کد QR را اسکن کنید




